You have no items in your shopping cart.
Presenters: Dr. Isaac Tawil, Dr. Bushra Imam, Dr. Taylor Manalili
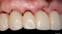
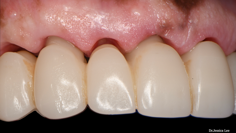
This advanced two-day course is designed for clinicians ready to elevate and refine their full-arch restorative skills with a focus on FP1 restorations.
Learn to merge surgical precision and esthetic artistry with a minimally invasive approach to full-arch implantology. Through a combination of focused lectures and immersive hands-on exercises, attendees will explore advanced treatment-planning principles, guided surgical techniques, and soft-tissue management including bone contouring for ideal emergence profiles. The program also covers digital workflows including photogrammetry for same-day temporization, and restorative design strategies that help achieve harmonious tissue contours and natural esthetics. Participants will gain the confidence to deliver long-term, lifelike results that balance biological health with restorative excellence through collaborative planning between clinicians, lab, and surgical teams.
Prerequisite Recommendation: To gain the most value from this course, attendees should have experience either placing or restoring full-arch implant cases.
Upon completion of this course, participants will be able to:

Glidewell Education Center
Nationally Approved PACE Provider for FAGD/MAGD credit
Approval does not imply acceptance by any regulatory authority, or AGD endorsement.
3/1/2024 to 2/29/2028.
Provider ID# 216789
May 29–30, 2026 (Louisville, KY)
Oct. 23–24, 2026 (Irvine, CA)
May 29–30, 2026 (Louisville, KY)
Glidewell Continuing Education Center
3841 Business Park Drive
Louisville, KY 40213
Oct. 23–24, 2026 (Irvine, CA)
Glidewell Continuing Education Center
2201 Dupont Drive
Irvine, CA 92612
8:30 a.m.–5 p.m. (Day 1)
8:30 a.m.–3 p.m. (Day 2)
$1,295 per Doctor Tuition*
$1,495 per Doctor (Includes Tuition + Hotel)
$295 per Staff Member*
*Tuition does not include hotel accommodation and only applies to the course registration.
13 Hours
690 Implants
Lecture/Participation/Hands-On
Dr. Isaac Tawil is the clinical director of TBS Dental and Shining 3D, and he is the co-director of GuidedSmile. He serves as an ambassador for the Megagen International Network of Educators and Clinicians (MINEC), the Digital Dental Society, and the Clean Implant Foundation. Dr. Tawil sits on the boards of MINEC USA, the Digital Dental USA Society, and the SlowDentistry Movement. He is a diplomate of both the International Academy of Dental Implantology (IADI) and the International Academy for Dental-Facial Esthetics (IADFE), and he is a fellow of the International Congress of Oral Implantologists (ICOI). Named one of Dentistry Today’s “Top 225 Leaders in Continuing Education,” Dr. Tawil is a faculty member at the Osseodensification Academy, Brighter Way Educational Director in Phoenix, Arizona, and Digital Director of GuidedSmile. Dr. Tawil has been widely published in journals, textbooks, and magazines in the fields of implantology and digital dentistry, and he has presented on main podiums and led hands-on workshops around the world. He maintains a private practice in Brooklyn, New York.
Dr. Bushra Imam is a general practitioner from Atlanta, GA. She brings close to 15 years of experience in the full-arch implant and digital dentistry field. She graduated with honors from Cairo University in Egypt in 2011, earning her dental degree. She then completed her NBDE certification in 2017 in the U.S. Bushra discovered her passion for dental implant guided surgery and digital dentistry early in her career. Since 2014, she has mentored dental specialists and general practitioners in the U.S. and internationally in planning and restoring complex implant cases. Her work is focused on providing a synergy between the surgical and restorative phases to achieve a patient centric and minimally invasive treatment approach. Bushra has become an authority in her field while collaborating and lecturing with leading clinicians, as well as working with top companies in the industry. Dr. Imam is currently the director of education and integration with Glidewell.
Dr. Taylor Manalili is director of clinical prosthodontics at Glidewell. In the onsite dental clinic at Glidewell, Dr. Manalili helps to enhance laboratory protocols, conduct clinical research, and perform advanced restorative work — including implant placement, chairside restorations and full-mouth rehabilitations. She received a Bachelor of Science degree in chemical engineering from Northeastern University and a Doctor of Dental Surgery degree from Stony Brook University, where she also obtained an advanced certificate in prosthodontics and digital technologies. Dr. Manalili completed her fellowship and diplomate in the International Congress of Oral Implantologists. She joined the Resnik International Implant Institute as a prosthodontic faculty member and has over ten years of teaching experience in diverse education settings.
Promotion Details
Call 866-791-9539 for assistance completing your tuition and hotel package. Offer
available to dentists who select the tuition and hotel package for any in-person course at Glidewell facilities
in Irvine, CA, and Louisville, KY; offer does not include other locations.
Visit
glidewellcecenter.com for latest
course schedule. Glidewell will select hotel at sole discretion; no substitutions or credit for a different
hotel. No cash value. Void where prohibited.
I've highlighted the element on the page with a green background, so it should be easily visible.
If everything looks okay to you, you can Ignore this warning.
Or, you can Get Help from our support team